长时间闻霉味儿,肺里会长「毛」吗?
霉味本身没啥攻击性。

霉味是霉菌在活动时,产生的气味化合物,除了难闻点,不带任何毒性。
但关键是,闻到了这个味道,说明你家里的霉菌活得挺好。
霉菌会释放非常细小的孢子用来繁衍后代,这些孢子没啥味道,但会随着气流漂浮、传播。
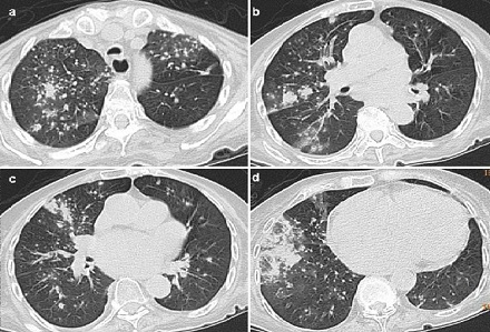
一般人吸入后,人体的免疫系统能有效清除或抑制这些孢子,但免疫力差的人就可能发生感染。

霉味本身没啥攻击性。
霉味是霉菌在活动时,产生的气味化合物,除了难闻点,不带任何毒性。
但关键是,闻到了这个味道,说明你家里的霉菌活得挺好。
霉菌会释放非常细小的孢子用来繁衍后代,这些孢子没啥味道,但会随着气流漂浮、传播。
一般人吸入后,人体的免疫系统能有效清除或抑制这些孢子,但免疫力差的人就可能发生感染。